1. Định nghĩa
Bệnh lý phì đại cơ tim (HCM – Hypertrophic Cardiomyopathy) là một trong những bệnh lý phổ biến nhất ở mèo. Bệnh lý này đặc trưng bởi sự dày lên của một hoặc một vài vị trí trên thành cơ tim, đặc biệt là thành thất trái. Phì đại cơ tim ở mèo thường xảy ra do sự bất thường về nhiều loại gen của protein cơ tim.
2. Nguyên nhân và cơ chế sinh bệnh
Nguyên nhân
Nguyên nhân phì đại cơ tim di truyền là cho là do sự đột biến gene tổng hợp protein sacomere liên quan đến sợi dày hoặc sợi mảnh dẫn đến sợi sacomere của cơ tim co quá mức.
Trên mèo, có 2 đột biến trên 1 gen (Myosin liên kết protein C – MYBP3) có liên quan đến HCM là đột biến A31P trên giống mèo Maine coon và đột biến R820W trên giống mèo Ragdoll. Những con mèo có sự xuất hiện của gene đồng hợp tử đột biến HCM, sẽ có nguy cơ cao mắc bệnh. Ngoài 2 đột biến trên thì vẫn còn 1 số đột biến khác trên 1 vài cá thể mèo cho thấy có liên quan đến HCM (đột biến chuỗi nặng Myosin 7 – MYH7), tuy nhiên bằng chứng cho thấy những đột biến này dẫn đến biểu hiện kiểu hình HCM vẫn còn hạn chế.
Những con mèo Maine Coon mang gen đột biến dị hợp tử thường sẽ phát triển ở mức độ suy tâm trương và tâm thu ở mức độ nhẹ nhưng thường không có hiện tượng dày thành và chỉ ở mức cận lâm sàng. Với những cá thể mang gen đột biến đồng hợp tử thì cơ tim dày sẽ có nhiều mức độ, một số thì biểu hiện bệnh nghiêm trọng cho đến phì đại nhĩ trái nặng và suy tim trái hay ATE. Mức độ lưu hành của đột biến A31P trên giống Maine coon là 34% – 41%. Khoảng 10% mèo trong số này sẽ mang gen đột biến đồng hợp tử (nguy cơ bị HCM cao) và 90% số mèo sẽ mang gen dị hợp tử.
Trên giống mèo Ragdoll, về tiền sử và sinh bệnh học của đột biến R820W chưa có nhiều nghiên cứu được thực hiện. Những con mèo có mang đột biến gen R820W đồng hợp tử thì có tâm thất trái dày hơn so với những con mèo mang gen đột biến dị hợp tử. Một nghiên cứu được thực hiện ở Vương Quốc Anh cho thấy, có khoảng 27.4% mèo Ragdoll mang gen đột biến trong đó 26% mang gen dị hợp tử và 1.4% mang gen đồng hợp tử. HCM cũng có lưu hành trên trên một số giống mèo thuần chủng khác bao gồm như Bengal, American and British Shorthair, Sphynx, Persian, Scottish Fold, Cornish Rex, …
HCM là một bệnh lý đặc trưng bởi sự tăng co bóp và suy giảm chức năng tâm trương thất trái. Việc cơ tim co bóp quá mức sẽ dẫn đến tình trạng cơ tim phì đại và mất cân bằng năng lượng. Tình trạng cạn kiệt năng lượng và mất cân bằng điều hoà canxi, kéo theo rối loạn chức năng ty thể dẫn đến xơ hoá cơ tim, rối loạn tế bào cơ tim, cùng với cơ tim phì đại làm cho cơ tâm thất trái xơ cứng và rối loạn chức năng tâm trương.
Khi thành thất trái dày lên, làm giảm lượng cấp máu đến cơ tim. Kết quả này là do diễn ra sự tổn thương và chết đi của những tế bào cơ, bằng chứng là trên mèo bị HCM sẽ thấy hiện tượng tăng dấu ấn tim cardiac troponin I (cTnI). Những tế bào cơ tim đã chết được thay thế bằng mô sợi, qua việc sẽ thấy tình trạng tăng dấu ấn tim collagen loại I ở trong hệ tuần hoàn.
Vấn đề thường thấy ở trên mèo bị HCM là rối loạn chức năng tâm trương, điều này sẽ làm tâm thất cứng và khi dòng máu đổ vào trong kỳ tâm trương, sẽ dẫn đến áp lực trong buồng thất sẽ tăng lên, từ đó làm áp lực ở nhĩ trái tăng theo dẫn đến phì đại tâm nhĩ trái. Kết quả của tăng áp nhĩ còn dẫn tới tăng áp tĩnh mạch phổi và tăng áp mao mạch phổi, kết quả có thể gây phù phổi, tràn dịch màng tim hoặc màng phổi. HCM có nguy cơ khoảng 23.9% gây ra biến chứng thành suy tim sung huyết (CHF – congestive heart failure)
Tình trạng giãn nhĩ và giảm chức năng tiểu nhĩ thường liên quan đến ứ đọng máu và tổn thương nội mạc, tạo điều kiện hình thành cục máu đông. Những nghiên cứu gần đây cũng cho thấy sự gia tăng hoạt hoá tiểu cầu trên những con mèo bị HCM hơn là những con mèo bình thường. Do đó 11% số mèo bị HCM có thể xuất hiện tình trạng hình thành cục máu đông trong buồng tim và huyết khối động mạch (ATE – Arterial thromboembolism).
Biến đổi đặc tính của mô trong HCM bao gồm sự sắp xếp bất thường của mô cơ tim, xơ hoá động mạch và xơ hoá mô cơ tim góp phần gây ra tình trạng loạn nhịp tim, được xem là căn nguyên dẫn đến đột tử ở một số bệnh thú.
HCM có thể phức tạp hơn do tắc nghẽn động học đường ra thất trái (DLVOTO – Dynamic LV outflow tract obstructions), xuất hiện trên mèo bị HCM ở một số giai đoạn tiến triển bệnh với tỷ lệ từ 45.7% – 67%. DLVOTO có thể đến từ phì đại cơ tim vùng trung thất hoặc tình trạng van 2 lá chuyển dịch về phía trước trong kỳ tâm thu (SAM – Systolic Anterior Motion). SAM xuất hiện khi van 2 lá lệch ra khỏi vị trí trong kỳ tâm thu tiếp xúc với vách liên thất, làm cản trở đường tống máu ra của thất trái. Cơ chế dẫn đến tình trạng SAM là do phì đại cơ tim dẫn đến vị trí cơ nhú dịch chuyển ra trước làm cho dây chằng tim của van hai lá trước bị lỏng lẻo. Dưới sự tác động của lực đẩy và lực cản của dòng máu trong kỳ tâm thu làm lá trước của van hai lá bị kéo dài ra và dịch chuyển về phía trước, thường kèm theo trào ngược van hai lá. Mức độ của SAM phụ thuộc vào nhiều yếu tố như tiền tải, khả năng co bóp và nhịp tim.
3. Triệu chứng lâm sàng
Triệu chứng lâm sàng phổ biến nhất thường liên quan đến sự phát triển phù phổi và/hoặc tràn dịch màng tim, dẫn đến suy tim sung huyết (CHF) thứ phát. Khó thở là tình trạng thường gặp nhất, các triệu chứng không điển hình phổ biến như mệt mỏi và lẩn trốn cũng có thể xảy ra. Triệu chứng ho thường không phổ biến ở mèo bị CHF và thường liên quan đến bệnh lý hô hấp nguyên phát. Đau cấp tính và liệt chi thường xảy ra ở mèo bị ATE. Ngất cũng có thể xảy ra do kết quả của LVOTO hoặc rối loạn nhịp tim, và tình trạng ngất kéo dài có thể dẫn tới co giật do thiếu oxy. Tuy nhiên,nhiều con mèo bị HCM không có biểu hiện lâm sàng và có tuổi thọ như những con mèo bình thường. Nhưng một số có tình trạng huyết khối động mạch thường nghiêm trọng và có nguy cơ đe doạ đến mạng sống của mèo.
4. Chẩn đoán
Phương pháp siêu âm tim thông thường là chẩn đoán cuối cùng ở mèo bị HCM. Ngoài ra, các phương pháp hiện đại hơn như CT và MRI đang dần được sử dụng rộng rãi trong thú y.
Điện tâm đồ (ECG) thể hiện các thay đổi ở một số con mèo bị HCM, tuy nhiên cũng không phải là một dấu hiệu đáng tin cậy cho bệnh lý.
Xquang thường không dùng để phân biệt HCM với các bệnh cơ tim khác. Tuy nhiên, phương pháp này rất có giá trị trong chẩn đoán giãn nhĩ trái nặng, đặc biệt ở tư thế bụng-lưng (ventrodorsal – VD) hoặc tư thế lưng-bụng (dorsoventral – DV) với dấu hiệu phình nhĩ trái, tràn dịch màng phổi (pleural effusion – PE) và phù phổi (pulmonary edema)
a. Siêu âm tim
Khi mèo bị HCM nặng, siêu âm tim thường rõ ràng các dấu hiệu như: dày thành thất trái khu trú hoặc toàn bộ, cơ nhú phì đại nặng, hiện tượng SAM, mất khoang thất trái kỳ tâm thu, giãn nhĩ trái mức độ nhẹ đến nặng.
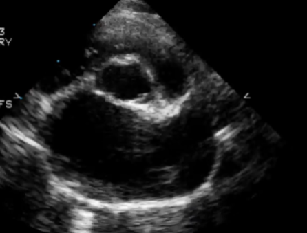
Giãn nhĩ MC 4 buồng cạnh ức phải
Dày thành thất trái MC cây nấm
Bệnh lý HCM với mức độ nặng trung bình thường khó chẩn đoán hơn, vì bệnh lý thường dựa trên số đo, và mức độ khác biệt trong cùng một cá thể hoặc giữa những cá thể cũng thường xuyên xảy ra. Sự không đồng nhất thành thất trái cũng cũng khiến siêu âm tim khó khăn hơn. Ở dạng nhẹ, thường khó phân biệt với tình trạng bình thường nếu không sử dụng các kỹ thuật đặc biệt. Với những con mèo có nhĩ trái (LA) bình thường, không có SAM, cơ nhú và độ dày thành thất trái (LV) lớn thường được xếp vào trường hợp nghi ngờ, có thể hoặc không tiến triển thành dạng HCM. Hiện tượng mất khoang ở cuối kỳ tâm thu (end-diastolic cavity obliteration) thường thấy ở mèo bị HCM, nhưng cũng có thể thấy ở mèo bình thường.
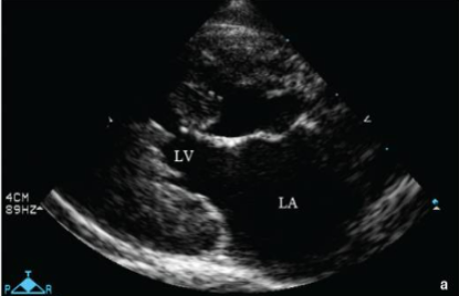
Dày thành thất trái kỳ tâm trương (a) và tâm thu (b)
Giãn nhĩ mặt cắt Mercedes và 4 buồng cạnh ức phải
Dày thành thất trái (LV thickness)
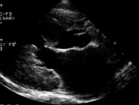
Ở mèo, dày thành thất trái đối xứng thường xảy ra hơn. Phát hiện siêu âm tim phổ biến ở mèo là hiện tượng lồi vách liên thất ở đáy tim. Hiện tượng này thường thấy đơn lẻ, hoặc có thể thấy ở mèo bị dày các vùng khác của thất trái. Nhiều con mèo có hiện tượng lồi vách liên thất ở đáy tim, nhưng không tiến triển ở các vùng khác, điều này gây khó khăn trong chẩn đoán. Phần lồi này thường gây hẹp đường ra thất trái (LVOT) tạo ra hiện tượng SAM ở mèo.
Lồi vách liên thất
SAM và dày thành thất trái
Đối với mèo trường thành với kích thước trung bình thường có thành tự do thất trái và vách liên thất < 5mm, các giá trị > 6mm thường quá dày ở mèo có kích thước bình thường. Khoảng nghi ngờ từ 5-6mm, độ dày thành thất trái thường thay đổi theo cân nặng cơ thể (khoảng 1mm từ 2- 8kg). Vẫn còn nhiều tranh cãi về việc >6mm ở những con mèo kích thước lớn (>10kg).
HCM ở mèo thường xảy ra khu trú, do đó sự bất đồng theo vùng cần phải kiểm tra kỹ lưỡng bằng siêu âm 2D. Siêu âm tim M-mode không được sử dụng để sàng lọc dày thành thất trái khu trú, tuy nhiên có thể sử dụng tại vị trí đã xác định từ trước bằng chức năng siêu âm tim M-mode theo vị trí giải phẫu (Anatomical/Free-positioning M-mode). Tuy nhiên, độ dày thành tim nên được đo trên hình ảnh 2D kỳ tâm trương bao gồm cả bề mặt nội tâm mạc (nguyên tắc leading edge to trailing edge với vách liên thất).
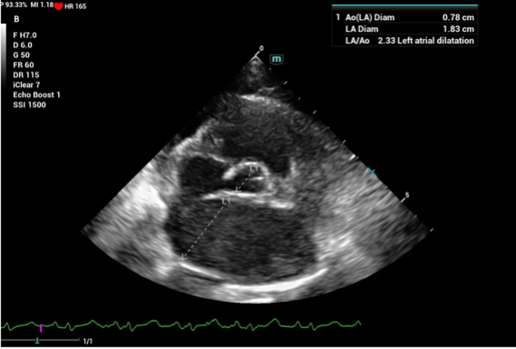
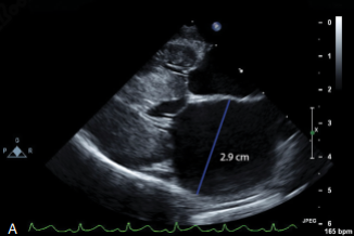
Kích thước và chức năng nhĩ trái
Việc đo đạc kích thước nhĩ trái (LA) rất quan trọng với bệnh lý cơ tim bên trái, bao gồm HCM. Tình trạng giãn nhĩ trái nặng đồng nghĩa mèo đã bị suy tim trái hoặc mèo có rủi ro cao bị suy tim trái. Điều này có thể dẫn tới tình trạng ứ máu và hình thành cục máu đông (Thrombus), thường xảy ra ở tiểu nhĩ trái (LAA) và có thể gây ra thuyên tắc động mạch (ATE).
Đo kích thước nhĩ trái thường được sử dụng qua phép đo LA:Ao. Kích thước bình thường của chỉ số này thường <1.6, khi giá trị này >1.8-2.0 hoặc đường kính LA > 18-19mm thì mèo sẽ có nguy cơ phát triển suy tim và/hoặc thuyên tắc động mạch (ATE – giai đoạn B2).
LA là một cấu trúc 3 chiều, một số con mèo thường giãn nhiều ở tiểu nhĩ nhưng giãn ít ở nhĩ trái hoặc nhĩ trái thường lớn hơn ở mặt cắt tại mỏm tim bên trái so với mặt cắt cạnh ức phải. Do đó, nhĩ trái nên được khảo sát cả từ mặt cắt ức phải và mỏm tim trái. Các chỉ số khác cũng có thể được đánh giá ở mèo bị suy tim trái như tốc độ dòng máu qua tiểu nhĩ trái và tốc độ sóng A qua van hai lá thường giảm.
Suy tâm trương (Diastolic dysfunction)
Suy tâm trương là một đặc điểm của bệnh HCM, thường được đánh giá qua chức năng siêu âm Doppler mô (TDI- Tissue Doppler Imaging). Thông thường, cổng Doppler xung trong TDI thường đặt tại vòng van hai lá để đo vận tốc trong giai đoạn sớm kỳ tâm trương (E’). Ở mèo bị HCM nặng, vận tốc sóng E’ thường giảm. Đánh giá chức năng tâm trương thường cung cấp ít thông tin cho các bệnh nhân bị HCM, tuy nhiên có thể ứng dụng để chẩn đoán suy tim hạn chế (RCM – Restrictive Cardiomyopathy)
TDI tại vị trí vòng van hai lá tại MC 4 buồng mỏm tim trái
Dày thành tự do thất phải (Thicked RV free wall)
Thành thất phải cũng thường dày lên trong bệnh lý HCM. Một nửa số ca bệnh HCM ở mèo, thành tự do thất phải (RV) thường dày nhẹ.
b. Dấu ấn tim
Các dấu ấn tim (NT-proBNP, cTnI) trong huyết thanh hoặc huyết tương cũng được đánh giá rộng rãi để sàng lọc HCM ở mèo không có suy tim (HCM cận lâm sàng) hoặc để chẩn đoán phân biệt giữa suy tim và bệnh đường hô hấp nguyên phát ở mèo có biểu hiện lâm sàng khó thở.
NT-proBNP thường chính xác trong việc phát hiện bệnh lý HCM nặng, tuy nhiên vẫn cần phối hợp với nhiều phương pháp chẩn đoán khác. Đối với mèo bị HCM cận lâm sàng, chỉ số NT-proBNP huyết tương thường bình thường, tuy nhiên mèo bị HCM giai đoạn tiến triển hơn thì nồng độ NT- proBNP thường cao hơn. Miễn dịch NT-proBNP định lượng thường đáng tin cậy ở mèo có âm thổi tim (heart murmur), nhịp tim ngựa phi (gallop rhythm) và rối loạn nhịp tim (arrhythmia) hoặc có tình trạng tim to qua phim X-quang. Nói chung, nồng độ NT-proBNP huyết tương > 99pmol/L khẳng định có tình trạng HCM nhẹ đến nặng. Các trường hợp này cần kiểm tra thêm qua siêu âm tim, tuy nhiên ở mèo đực có nồng độ cao NT-proBNP vẫn có thể có hình thái tim bình thường trên siêu âm.
Một nghiên cứu cho thấy miễn dịch cTnI độ nhạy cao giúp phân biệt mèo bình thường với bệnh lý HCM. Các trường hợp HCM bao gồm cả mèo bị suy tim và ATE, xét nghiệm có độ nhạy 92% và độ đặc hiệu 95% (ngưỡng 0.06 ng/mL). Cùng với ngưỡng đó đối với mèo bị HCM cận lâm sàng, xét nghiệm có độ nhạy 88% và độ đặc hiệu 95%. Với ngưỡng 0.163 ng/mL, xét nghiệm chỉ có độ nhạy 62% nhưng độ đặc hiệu 100% giúp phân biệt mèo bình thường và mèo bị HCM cận lâm sàng và không giãn LA. Với ngưỡng 0.234 ng/mL, xét nghiệm có độ nhạy cao hơn (95%) nhưng độ đặc hiệu thấp hơn (78%) giúp phát hiện mèo bị suy tim do HCM.
c. ECG – Rối loạn nhịp tim (Arrhythmias)
Nhiều tình trạng rối loạn nhịp tim có thể phát hiện qua điện tâm đồ (ECG) như ngoại tâm thu nhĩ và thất (APCs, VPCs), nhịp nhanh nhĩ và nhịp nhanh thất, và rung nhĩ. ECG nhạy đối với rung nhĩ, tuy nhiên bệnh lý này khó phát hiện trên mèo. Trường hợp sóng P nhỏ và ngoại tâm thu nhĩ (APCs) thường dễ bị nhầm lẫn với rung nhĩ ở mèo. Với các trường hợp ngoại tâm thu nhĩ (APCs) và ngoại tâm thu thất (VPCs) thường ít nhạy hơn với ECG. Holter 24h ECG thường nhạy hơn để phát hiện rối loạn nhịp tim này.
Mèo cái giống lai 10 tuổi được chẩn đoán phì đại cơ tim giai đoạn B2, xuất hiện phức bộ ngoại tâm thu thất và block nhánh phải trên chuyển đạo II
d. X – quang
HCM trên mèo đặc trưng bởi sự tăng kích thước của tim, đặc biệt tại vị trí nhĩ thất trái. Phì đại tim có thể quan sát trực tiếp hoặc áp dụng các phép đo như so sánh “mặt đồng hồ” hoặc thước đo kích thước tim theo đốt sống (VHS – Vertebral Heart Size). Tình trạng tim to kèm giãn nhĩ trái thường thấy ở mèo bệnh, dấu hiệu trái tim “Valentine” đặc trưng bởi sự thu hẹp ở mỏm tim và giãn rộng ở đáy tim. Phương pháp so sánh theo mặt đồng hồ thường dựa trên hình dáng bên ngoài của tim, gán các buồng tim tại các vị trí tương ứng trên mặt đồng hồ để đánh giá trực quan. Đối với mèo giống lai, chỉ số VHS bình thường là 7,5 ± 0,3 đốt sống. Đối với mèo Maine Coon, giá trị này là 7,61 ± 0,34. Sự khác biệt của các giống mèo và cấu trúc lồng ngực có thể dẫn tới biến thiên giá trị trung bình của VHS. Các dấu hiệu phì đại nhĩ trái và phình tiểu nhĩ thường làm chỉ số LA:Ao cao hơn so với bình thường, đặc biệt ở mèo bị suy tim xung huyết (CHF – Congestive heart failure). Tuy nhiên, không thấy sự khác biệt về kích thước nhĩ trái theo đốt sống (VLAS – Veterbral Left Atrial Size) ở mèo bị CHF/HCM so với mèo khoẻ mạnh.
Xquang ở mèo bị phì đại cơ tim. (A, B) Tư thế nằm nghiêng cho thấy phì đại tâm nhĩ và sự dịch chuyển của khí quản. (C, D) Tư thế bụng-lưng cho thấy sự giãn nhĩ và thất kèm theo sự thay đổi cấu trúc tim bất thường
Phương pháp so sánh theo mặt đồng hồ
Đo kích thước tim theo đốt sống
TÀI LIỆU THAM KHẢO
1. The feline cardiomyopathies: 2. Hypertrophic cardiomyopathy
https://doi.org/10.1177/1098612X211020162
2. Clinical-Diagnostic and Therapeutic Advances in Feline Hypertrophic Cardiomyopathy
https://doi.org/10.3390/vetsci12030289
3. Small Animal Critical Care Medicine, 3rd Edition
https://vetbooks.ir/small-animal-critical-care-medicine-3rd-edition/






