I. Định nghĩa
Vàng da (Hoàng đản) là tình trạng sắc tố da, củng mạc và niêm mạc chuyển sang màu vàng do sự gia tăng bất thường nồng độ bilirubin trong máu. Tình trạng bất thường này có thể gây rối loạn chức năng huyết học hoặc chức năng gan-mật nghiêm trọng.
Ở chó và mèo, nồng độ bilirubin huyết thanh bình thường nằm trong khoảng 0,1 – 0,3 mg/dL. Dấu hiệu vàng da chỉ có thể quan sát được trên lâm sàng khi bilirubin huyết thanh tăng lên trên 2,5 –3,0 mg/dL. Đặc biệt, ở chó, bilirubin niệu thường xuất hiện trước khi vàng da xuất hiện trên lâm sàng. Ngược lại, ở mèo, sự có mặt của bilirubin trong nước tiểu thường xảy ra đồng thời với tình trạng vàng da trên lâm sàng.
II. Sinh lý
Trong cơ thể, bilirubin thường được sản xuất thông qua quá trình dị hóa nhân heme từ tế bào hồng cầu già. Các nhóm heme này thường được cắt nhỏ trong hệ thống lưới nội mô (reticuloendothelial system) để tạo thành biliverdin, sau đó biliverdin được khử thành bilirubin tự do (unconjugated bilirubin). Cuối cùng, biliribin tự do được giải phóng vào hệ tuần hoàn và liên kết với Albumin để đi vào gan.
Ba giai đoạn chuyển hóa ở gan bao gồm:
– Thu nhận (Uptake)
– Liên lợp (Conjugation)
– Bài tiết vào mật (Excretion into the bile)
Tại gan, bilirubin tự do sẽ liên hợp với acid glucuronic. Nếu quá trình chuyển hóa này bị cản trở, bilirubin sẽ trào ngược vào huyết tương gây tăng bilirubin máu (hyperbilirubinemia) và gây vàng da.
Nếu hệ thống gan-mật bình thường, bilirubin liên hợp sẽ theo ống mật và dự trữ tại túi mật. Sau đó được giải phóng vào tá tràng giúp nhũ tương hóa chất béo và tăng cường hấp thu chất béo. Khi đến tá tràng, bilirubin được chuyển hóa thành stercobilin hoặc urobilinogen, trong đó:
– Stercobilin được bài thải qua phân
– Urobilinogen được tái hấp thu vào tuần hoàn và bài tiết qua nước tiểu, hoặc được tái hấp thu thụ động tại ruột và đi vào gan để tiếp tục thải qua mật.
III. Sinh bệnh lý và nguyên nhân
Thông thường, vàng da được chia thành ba loại chính:
– Vàng da trước gan (Prehepatic)
– Vàng da tại gan (Hepatic)
– Vàng da sau gan (Posthepatic)
Vàng da trước gan (Prehepatic jaundice) được chia thành ba cơ chế chính: sản xuất quá mức (overproduction), giảm khả năng thu nhận bilirubin (decreased hepatic uptake) và giảm quá trình liên hợp (decreased conjugation). Nguyên nhân phổ biến nhất gây ra vàng da trước gan là tình trạng “tán huyết” ở chó và mèo, gây phá hủy hồng cầu và làm tăng số lượng nhân heme khiến gan không đủ khả năng liên hợp và giải phóng đúng cách.
Vàng da tại gan (Hepatic jaundice) thường xảy ra trực tiếp do các bệnh lý tại gan gây viêm, độc tố, thoái hóa, nhiễm trùng, khối u hoặc bất thường chuyển hóa.
Vàng da sau gan (Posthepatic jaundice) xảy ra thường do các tình trạng gây tắc nghẽn dòng chảy mật từ gan. Các tình trạng có thể bao gồm: mật dạng đặc (inspissated bile), phù nề hoặc xơ hóa do viêm, u nguyên phát hoặc thứ phát, và ký sinh trùng.
IV. Đánh giá lâm sàng
Vàng da không phải là một bệnh mà đây là biểu hiện lâm sàng của bệnh.
– Vùng mô hay niêm mạc xuất hiện màu vàng trên những vùng thường thấy như nướu, củng mạc của mắt hay vành tai. Trên những vùng mô có màu tối thì khó quan sát được tình trạng vàng da.
– Thú có biểu hiện đau hoặc khó chịu khi sờ nắn vùng bụng.
– Thú có màu lông hoặc điểm thể trạng kém.
Ngoài ra các tình trạng vàng da cũng có thể đi kèm với những biểu hiện khác như mất hay giảm cảm giác thèm ăn, nôn ói.
Củng mạc và vành tai màu vàng trên chó bị thiếu máu tán huyết
Củng mạc và niêm mạc vàng đậm trên chó bị thiếu máu tán huyết do miễn dịch với PCV là 9%
Niêm mạc vàng cam trên chó bị vàng da do bệnh lý trên gan với PCV > 30%
V. Chẩn đoán cận lâm sàng
Việc đánh giá nguyên nhân gây vàng da thường khó khăn và cần nhiều các xét nghiệm cận lâm sàng bao gồm: xét nghiệm công thức máu toàn phần (CBC), xét nghiệm sinh hóa, xét nghiệm nước tiểu, chẩn đoán hình ảnh, …
1. Xét nghiệm công thức máu toàn phần (CBC)
Trong đó, xét nghiệm công thức máu toàn phần được sử dụng phổ biến để đánh giá tình trạng tán huyết thông qua đánh giá số lượng tế bào hồng cầu kèm với tình trạng gây giảm chỉ số PCV (packed cell v olume) hoặc Hematocrit (HCT). Hiện tượng tán huyết thường xảy ra do ngộ độc, ký sinh trùng máu, bệnh lý tự miễn.
2. Xét nghiệm sinh hóa
Ngoài ra, các chỉ số sinh hóa cũng đặc biệt hữu ích để chẩn đoán các bệnh lý về gan như alanine aminotransferase (ALT), aspartate aminotransferase (AST), alkaline phosphatate (ALKP), và bilirubin tống số (Total bilirubin).
– Các enzyme gan ALT và AST thường liên quan đến tình trạng tổn thương gan tuy nhiên tình trạng tăng các enzyme này không đặc hiệu cho việc phát hiện nguyên nhân cụ thể gây tổn thương gan và các bệnh thú không có vàng da cũng có thể tăng các chỉ số này.
– Tăng chỉ số ALKP, GGT (gamma-glutamyl transferase) trong huyết thanh, bilirubin nhưng có hoặc không tăng enzyme aminotransferase có thể gợi ý về tình trạng ứ mật trong hoặc ngoài gan.
3. Xét nghiệm yếu tố đông máu
Gan sản xuất hầu hết các yếu tố đông máu ngoại trừ yếu tố VIII và von Willebrand, do đó xétnghiệm yếu tố đông máu nên được thực hiện nếu có bất kỳ dấu hiệu xuất huyết nào. Rối loạn đông máu có thể xảy ra khi có các bệnh lý làm suy giảm khả năng của tế bào gan trong việc tổng hợp các yếu tố đông máu, hoặc do cản trở quá trình hoạt hóa một số yếu tố (các yếu tố II, VII, IX, X) bởi tình trạng tắc nghẽn dòng chảy mật và giảm hấp thu vitamin K. Các xét nghiệm yếu tố đông máu nên được thực hiện bao gồm số lượng tiểu cầu, fibrinogen huyết thanh, thời gian prothrombin (PT), xét nghiệm thời gian Thromboplastin từng phần hoạt hóa (aPTT), xét nghiệm thời gian đông máu hoạt hóa (ACT).
4. Chẩn đoán hình ảnh
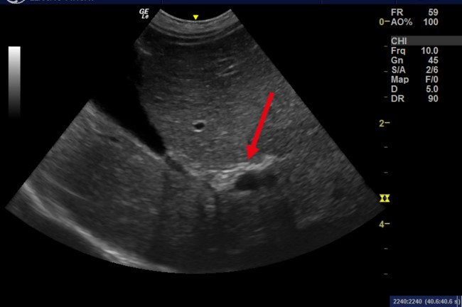
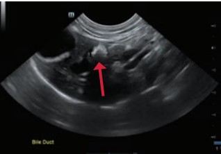
Phương pháp chẩn đoán hình ảnh cũng được ứng dụng để đánh giá và loại trừ tình trạng bệnh lý do tắc nghẽn, phát hiện những tổn thương hay bất thường trên gan. Ngoài ra, có thể thực hiện sinh thiết hoặc kỹ thuật chọc hút bằng kim nhỏ (FNA) để đánh giá mô bệnh học, tế bào học hoặc bệnh lý nguyên phát trên gan nếu cần thiết.
Hình ảnh siêu âm trên gan mèo cho thấy giãn ống mật do sỏi kích thước lớn
VI. Ảnh hưởng đến kết quả xét nghiệm
Tình trạng vàng da thường ít hoặc không ảnh hưởng tới kết quả sinh lý. Tuy nhiên đối với kết quả sinh hóa máu, bilirubin làm tăng đặc tính quang phổ và gây phản ứng hóa học với một số chất khác. Cụ thể khi nồng độ bilirubin tăng cao sẽ dẫn tới giảm giả kết quả creatinine và protein tổng số.
Tài liệu tham khảo:
1. Icterus in Dogs and Cats: A Practical Diagnostic Approach
https://www.dvm360storage.com/cvc/proceedings/dc/Gastrointestinal%20Medicine/Leib/Leib,%20Michael_Icterus_dogs_cats_STYLED.pdf
2. Icterus in Dogs and Cats
http://wendyblount.com/handouts-disease/digestive/ClientHandout-Icterus.pdf
3. The jaundiced cat – differentials and clinical approach
https://veterinaryirelandjournal.com/images/2022/november2022/pdf/sa_nov_2022.pdf
4. Jaundice
https://doi.org/10.1002/9781119028994.ch11
5. Interferences
https://eclinpath.com/test-basics/interferences/


Chất khoáng tăng âm trong lòng cổ túi mật và ống mật chủ (mũi tên đỏ). Phía xa trường siêu âm có xuất hiện các dải bóng âm